Here’s a useful roundup of information for people who are preparing for a dental implant procedure and those who are considering having dental implants to replace missing teeth.
As with any cosmetic surgery, it’s a good idea to know how to prepare for this type of cosmetic dentistry and have a solid understanding of what to expect when having dental implants. Let’s cover the steps required and common questions about dental implants to maximize a successful surgical outcome.
There are many people who get a bit of anxiety when they have to go to the dentist, which is completely understandable, and having dental implant surgery might amp up that anxiety, as the procedure is much more intensive than just filling a cavity.
To help alleviate your anxiety and concerns before having cosmetic dental work, have a look at our dental implant tips and advice, as it is important to be prepared for this type of dental work for the best results. The following steps recommended for dental implants will help you prepare for tooth implants and make the whole process much more understandable.
Este Medical Group offers dental implants in Istanbul at our 5-star medical clinic. If you would like a Turkey dental implant consultation, then send us a request through our website.
Understanding Dental Implant Surgery
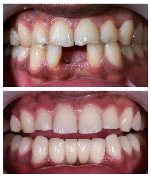
Dental implant surgery is a game-changer for men and women who are missing teeth, have tooth gaps, broken teeth, or have issues with chewing food properly. Additionally, implants will give you a natural-looking smile and help to preserve your jawbone and gum health.
What does dental implant surgery involve? Essentially, dental implant surgery involves replacing tooth roots (e.g., the spot where there is a missing tooth) with a metal screw-like post or tooth base. This metal base fills in for the missing tooth’s root; it is implanted directly into the jawbone beneath the gums. Once the base is implanted into the jawbone, a dental crown will be positioned over the implant, making the implant look like a natural tooth.
-p-800.png)
Benefits Of Dental Implants
Dental implants act like normal teeth once implanted, and are a better long-term option than removable dentures and bridgework. Your dental implants will be matched in size and color to the surrounding teeth for a flawless smile. Dental implant benefits include:
- Better smile and improved personal appearance
- Healthy-looking face shape and better face volume
- Improves quality of life
- Restores chewing ability
- Better oral hygiene
- Keeps jawbone from shrinking due to bone loss
- Maintains better gum health
- Keeps other natural teeth stable and healthy
Contact Este Turkey to talk about having dental implants in Turkey, find out more about how this dental work treatment can benefit you!
Consultation with Your Dentist Or Oral Surgeon About Teeth Implants
Why do I need a tooth implant consultation? At Este Turkey we strongly recommend you have a dental surgery consultation, as this is the ideal time to assess your tooth and gum health, and discuss the best treatment option to reach your cosmetic and oral health goals.
Before scheduling surgery, it is important to have a consultation with an oral surgeon to make sure you are the right candidate for the procedure.
During a dental implant consultation, your teeth and gums will be checked, and your medical and dental history will be reviewed. The dentist will evaluate your jaw’s bone density with an x-ray or CT scan, because there must be enough healthy bone in the treatment area to perform a dental implant successfully. If there is not enough bone volume, a bone graft may be necessary before tooth implant surgery.
A pre-surgery assessment of your oral health is necessary to rule out: bone loss to the jaw area, severe gum disease, infection in the bone or gums, and poor oral hygiene, all of which could have a negative effect on the surgery outcome.
Este Medical in Turkey can offer you a dental implant consultation to make sure you are medically fit and in the best position to succeed with a dental implant procedure. Book your consultation today!
Developing A Treatment Plan For Dental Implants
When you have your dental implant consultation a customized treatment plan will be created based on your specific needs to put you at ease and make sure you fully understand what to expect.
Here’s what a dental treatment plan may look like:
- As mentioned above, your dental and medical history, medications, and any recent medical treatments will be assessed to rule out any risk factors. For the best results we strongly advise you to inform your consulting dentist about your full medical and dental history and current medications, including if you smoke, drink excessively, or take recreational drugs. For instance, diabetes can have an adverse effect on dental procedures, increasing the risk of infection. Individuals with gum disease will have to have the condition treated first, before being able to proceed with dental surgery. Common medications that can have adverse interactions with dental implants are blood thinners, NSAIDs, antidepressants, and some antibiotics.
- Based on your medical history review, the oral surgeon may recommend lifestyle modifications like stopping smoking, dietary changes, and the addition of oral hygiene habits to facilitate the best surgical outcome. Your oral surgeon should discuss realistic expectations for your dental surgery. Make sure to share your expectations and goals of dental implants.
- Consultation should include a head and neck assessment to determine how your facial contours and skeletal profile may affect the surgery. Your surgeon will evaluate the potential dental implant sites, and most likely order X-rays and 3D imaging as part of the treatment planning to evaluate jawbone structure to increase the accuracy of implant placement.
- When a full medical and diagnostic examination is complete you will be ready to have your dental implant surgery.
Are you ready to start your journey to Istanbul, Turkey for dental implant surgery! Book your dental work with Este Medical Turkey and get ready to look forward to smiling again.

Lifestyle Adjustments Before Dental Implants: Nutrition, Diet & Dental Hygiene Tips
To help you prepare for dental surgery and make sure you have the best surgical outcome here are common tips that dentists and oral surgeons recommend:
- Maintain regular oral hygiene leading up to your surgery
- Brush and floss your teeth daily
- Use an antiseptic mouthwash (ask your dentist for their recommendation)
- Use a soft toothbrush bristle and fluoride toothpaste
- Do not chew or bite on hard or sharp objects
- For optimal oral health do not smoke
- Reduce alcohol intake
- Eat a whole foods diet and foods that are high in vitamins
- A healthy food diet will support oral health and post-surgery healing
- Drink lots of water, and stay hydrated
- Exercise on a regular basis
- Maintain a regular sleep schedule
Pre-surgery, ask your dentist or oral surgeon about any dietary restrictions or lifestyle modifications that are necessary. In most cases, you will be asked to not eat or drink, including water, at least six hours before your dental implant surgery.
If you are considering or preparing for dental implants, we encourage you to have regular dental check-ups and cleanings, because healthy gums are essential for teeth implant surgery, and you cannot have this dental procedure with active gum disease.
Once you’ve had dental surgery, we recommend you follow these post-surgery tips for optimal oral health: How To Maintain Dental Health After Cosmetic Dentistry.
Getting Mentally & Emotionally Prepared for Dental Surgery
It’s a good thing to be relaxed and organized when having any type of surgery. Before having cosmetic dental surgery it is normal to feel some apprehension, like feeling a bit nervous and excited. You are about to get a whole new smile!
Here are tips to prepare you for dental surgery:
- Educate yourself: gather knowledge of what to expect to put your mind at rest
- Set realistic expectations for the results of your surgery
- Share any nerves with family/friends: talking about how you feel can release tension
- Designate someone as your emotional support person before and after the surgery
- Practice breathing exercises and try meditation to calm your anxiety
- Have a positive state of mind; reframe your thoughts when you have doubt
- Be mindful when you feel anxious and practice self-care
- Visualize your surgery results and the healing process with self-love
- In the weeks before the dental surgery, write out a surgery before-and-after checklist, so in the days before your surgery you don’t feel overwhelmed
- Reach out to the dental clinic with questions and maintain open communication with your dental and surgery team to increase your confidence
If you have any anxiety about pain and dental implants we suggest you read this: Are Dental Implants Painful? Este Turkey Dentists Give Expert Advice.
We hope these tips are helpful in getting you emotionally prepared for dental implant surgery. At Este Medical we always maintain a strong connection of communication with our clients before and after any of our Este cosmetic procedures. Our medical consultations and aftercare get 5-star reviews from our clients.
Refresh & Restore Your Smile with Professional Dental Implants!
We hope our tips and advice about dental implants gives you the confidence to finally replace missing teeth and regain your confidence with a radiant new smile!
The amazing thing about dental implant surgery is it makes it possible to have natural-looking teeth, and nobody will know you had implants. If you have been feeling down and depressed about damaged or missing teeth, as a result of an accident, tooth decay, or gum disease, then you need to book yourself a tooth implant treatment with Este Turkey!
When missing teeth and holes in your gums are left untreated, your oral health can deteriorate. Additionally, missing teeth can cause the face to lose volume and the lips to collapse into the mouth area, making you look older than you are.
Este in Turkey has a 5-star reputation providing affordable and quality dental work. Our cosmetic dental work services range from tooth implants and veneers, to crowns and teeth whitening. Send us a message today to book a dental consultation.





.jpg)


